Томские ученые описали "застывшую" во времени бактерию и нашли ее родственника

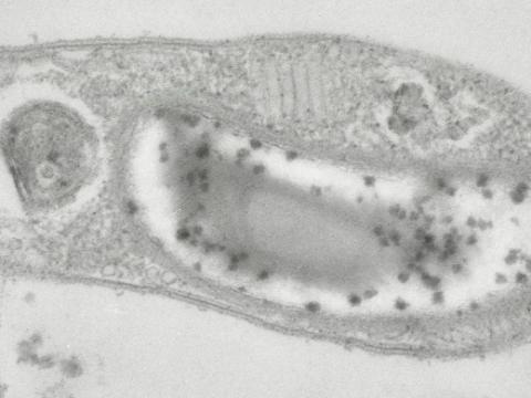
Микробиологи из Томского государственного университета вместе с коллегами из ФИЦ "Биотехнологии" РАН описали бактерию Desulforudis audaxviator (в переводе с латыни – "смелый путешественник"), которую ранее нашли в глубоких недрах Земли. Она прославилась тем, что способна жить в условиях, близких к марсианскии. Специалисты не только подробно изучили ее, но и обнаружили в подземных водах Западной Сибири ее "родственника". Новый род получил название Desulfosceptrum tomskiensis в честь Томской области, где был найден. Об этом сообщили 13 апреля в пресс-службе ТГУ.

 Десять лет исследователи всего мира "охотились" за бактерией, которая может жить и получать энергию при полном отсутствии света и кислорода – за счет радиоактивного распада в недрах Земли. А поймать ее удалось ученым ТГУ. Бактерию томские специалисты нашли в подземных водах термального источника в Верхнекетском районе Томской области. Исследователи сделали полное секвенирование генома бактерии, сравнили его с геномом бактерии из Южной Африки и поняли, что они абсолютно идентичны. Это свидетельствует о том, что Desulforudis audaxviator в прямом смысле слова "застыл" во времени. Геном "смелого путешественника" не менялся со времен Пангеи – суперконтинента, существовавшего около 335–175 миллионов лет назад. Это противоречит нашим представлениям о Дарвиновской эволюции, предполагающей, что в организмах накапливаются изменения, которые позволяют им лучше приспособиться к условиям окружающей среды.

Еще одним открытием стал новый род и семейство бактерий – "родственников" Desulforudis audaxviator. Найти их удалось в подземных скважинах в Западной Сибири: в артезианской воде в Белом Яре Томской области, возле Новокузнецка в угольных пластах в зоне добычи метана в Кемеровской области и в глубинных водах в Тюменской области. 

У ученых есть основание предполагать, что "смелый путешественник" до того, как стать подземным обитателем, жил на поверхности Земли. На это указывает наличие газовых вакуолей – воздушных пузырьков, которые дают возможность плавать на поверхности. Вероятно, Desulforudis audaxviator попал под землю с дождевой водой, глубинные условия оказались для него привлекательнее, нежели поверхность Земли. Изучение таких микроорганизмов может дать новую информацию о живых клетках в космосе: если на других планетах есть жизнь, то принципы ее устройства могут быть, как у этих бактерий.

Фото:Фото: БИ ТГУ

Читайте также на "Байкал24": Копию телескопа Галилео Галилея установили накануне Дня космонавтики в ТГУ.




Сувениры
РСХБ
ТГ
головосание